Discover a new chapter in
aesthetic laser dentistry with…
The 7 Secrets of the FotonaSMILE
1163956381
A perfect smile is more than healthy teeth. It combines balance, symmetry, and artistry. With Fotona’s minimally invasive technology, dentists can enhance teeth, gums, lips, and more to create smiles that perfectly suit each patient’s unique features.
Tips & Tricks from FotonaSMILE Luminaries. Watch these Exclusive Webinars:
LIVE EXPERT TALK - Implement FotonaSMILE in Your Practice
Learn directly from four leading experts and get answers to your questions in real time. Don’t miss this unique opportunity to discover how FotonaSMILE can enhance your treatments and patient outcomes.
Date: May 11th, 2026 at 15:00 CET
Location: Online via ZOOM
Lecturers:
Dr. Linhlan Nguyen
Dr. Alexandra Marques
Dr. Rita El Feghali
Dr. Hui Jing Phang
Meet the FotonaSMILE Luminaries
Uncover All 7 Secrets with a Single, Powerful, All-in-One Laser Platform. LightWalker®.
Fotona’s LightWalker® II is the ultimate Er:YAG and Nd:YAG dental laser that offers presets for more than 80 different applications. It’s easy to use and perfect for first-time users as well as advanced practitioners.
Want to Join a Workshop or an In-Person Session?
Live FotonaSMILE Session at the 2026 LA&HA Symposium
Meet five renowned luminaries in person at the 2026 LA&HA Symposium 2026, in beautiful Portorož, Slovenia. Through inspiring lectures and real-world insights, they will explore the full FotonaSMILE concept, from clinical protocols and treatment strategies to practical implementation in everyday practice.
The program will also feature insights from Dr. Grisel Martos, who will share valuable business insights and proven strategies for successfully integrating the FotonaSMILE® concept into your clinic.
Post-Symposium FotonaSMILE Workshop with Dr. Linhlan Nguyen
Take your expertise to the next level at our comprehensive FotonaSMILE Workshop on June 15th, 2026, at the LA&HA Institute in Ljubljana, Slovenia.
Led by Dr. Linhlan Nguyen, this immersive, hands-on workshop will cover all seven treatment protocols, including live patient demonstrations. This is a unique opportunity to gain practical knowledge and learn first-hand from an experienced expert.
Additional Workshops & Trainings
Looking for more opportunities? Explore our full range of workshops and trainings to find the program that best suits your needs here.
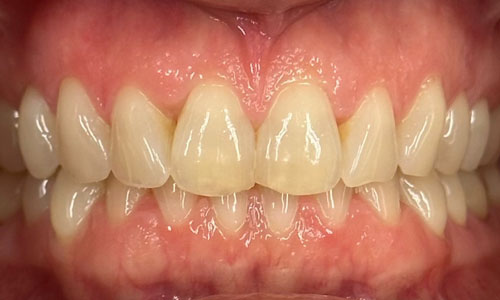
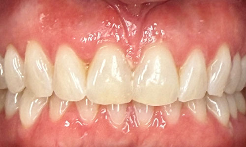
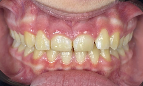
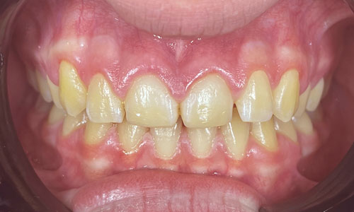
Secret 1:
TouchWhite® Laser-Assisted Teeth Whitening
Fotona TouchWhite® is a fast, safe, and minimally invasive procedure that uses Er:YAG laser technology to speed up the effect of whitening gel applied to the teeth. This technique ensures effective results with minimal sensitivity and no damage to the enamel.
How it Works
- A whitening gel (usually hydrogen peroxide-based) is applied to the teeth.
- The Er:YAG laser is directed at the gel, which absorbs the laser energy and heats up—accelerating the whitening process.
- Unlike other lasers, the Er:YAG wavelength is fully absorbed by the gel, so it doesn’t penetrate the tooth or pulp, making it gentler and safer.
Key Benefits
- Visible results after one session
- Safe for enamel and pulp
- Faster than traditional laser whitening methods


Courtesy of: Dr. Linhlan Nguyen
Secret 2:
LipLase® for Naturally Plump Lips Without Injectables
LipLase® is a minimally invasive laser treatment designed to enhance the appearance of the lips without the use of needles or injectable fillers. It uses Fotona’s Er:YAG laser to stimulate the natural production of collagen in both the inner and outer layers of the lips.
How it Works
- The laser delivers controlled thermal pulses to the lip tissue, triggering collagen production
- Treatment is typically done both intraorally and externally for deeper stimulation
- A series of sessions (usually 3–4) is recommended for optimal results
Key Benefits
- Fuller, smoother, and more hydrated lips
- Natural collagen regeneration for long-lasting results
- No foreign substances injected into the body
- Minimal to no downtime—patients can resume daily activities immediately
- Can improve lip symmetry and definition, including the Cupid’s bow


Courtesy of: Dr. Hui Jing Phang
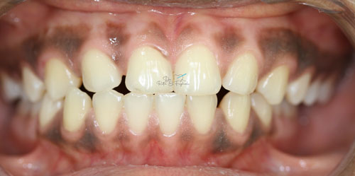
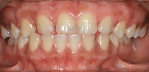
Secret 3:
Gum Depigmentation
Gum depigmentation, also referred to as "gum bleaching," is a cosmetic dental procedure designed to remove dark melanin spots from the gums and restore a healthy, natural pink appearance. This treatment is ideal for individuals who feel self-conscious about dark gum patches and want a brighter, more uniform smile.
How it Works
- Melanin-producing cells (melanocytes) are located directly under the epithelium and are responsible for gum discoloration. The Er:YAG laser enables precise, controlled ablation of the pigmented gingival tissue with minimal thermal impact, promoting faster healing and excellent aesthetic results.
Key Benefits
- Enhanced smile aesthetics
- No incisions or sutures
- Fast healing
- Well tolerated by patients
- Safe and effective for most patients with healthy gums
- Boosts self-confidence


Courtesy of: Dr. Rita El Feghali
Secret 4:
SmoothLiftin™ Rejuvenation
SmoothLiftin™ is a minimally invasive laser treatment designed to rejuvenate the face from the inside out. It uses Fotona’s Er:YAG laser technology applied intraorally (inside the mouth) to stimulate collagen production and enhance volume in areas like the nasolabial folds and lips. It also shortens the philtrum, enhancing overall lip harmony.
How it Works
- The laser gently heats the mucosal tissue inside the mouth.
- This thermal stimulation triggers collagen remodeling and neocollagenesis (new collagen formation).
- The result is a plumping effect that is achieved naturally and gradually.
Key Benefits
- Improves skin tightness and elasticity
- Reduces nasolabial folds and fine lines
- Improves fullness/volume,
- No needles, minimal to no downtime
- Comfortable and quick procedure


Courtesy of: Dr. Linhlan Nguyen
Secret 5:
Gingivectomy and Crown Lengthening
Gingivectomy is a dental procedure that removes or reshapes excess gum tissue using Er:YAG or Nd:YAG/Diode laser. This method is precise, minimally invasive, and designed to enhance both oral health and aesthetics. It is especially useful for correcting a “gummy smile” or preparing teeth for restorative work.
Crown lengthening is a minimally invasive procedure used to expose more of the tooth structure by reshaping the gum and, when necessary, the underlying bone tissue. This is often necessary for placing crowns, improving aesthetics, or treating highly damaged teeth.
How it Works
- The Er:YAG laser is highly absorbed by water and hydroxyapatite, enabling clean, controlled ablation of soft tissue and bone with minimal thermal damage.
- Soft tissue and bone can be precisely removed around the tooth, without the need to raise a surgical flap.
- QSP pulse mode is used to ensure minimal thermal damage and maximum precision.
- The Nd:YAG or Diode lasers, which are highly absorbed in hemoglobin, are particularly helpful in cases where more bleeding is expected, providing effective coagulation.
Key Benefits
- No scalpels required and minimal need for sutures
- Minimal bleeding and swelling
- Supports faster healing with reduced risk of infection
- Improved gum contour and smile aesthetics


Courtesy of: Dr. Alexandra Marques
Secret 6:
Treatment of Skin & Mucosal Lesions
Hemangioma Removal
Vascular lesions, such as hemangiomas, can be precisely targeted with Fotona’s Nd:YAG laser.
How it Works:
- The Nd:YAG laser is highly absorbed in hemoglobin. Laser energy penetrates the skin to coagulate blood vessels, reducing the lesion while minimizing damage to the surrounding tissue.
Key Benefits:
- Fast and gentle
- Minimal discomfort and downtime
- Excellent cosmetic results
Herpes and Aphthae Treatment
For herpes simplex outbreaks, Nd:YAG laser provides a non-contact, gentle approach that accelerates healing and reduces recurrence. It also provides quick pain relief and effective disinfection for aphthae.
How it Works
The Nd:YAG laser’s disinfection and photobiomodulation effects enhance tissue regeneration and reduce inflammation.
Key Benefits:
- Rapid relief from pain and discomfort
- Shortened healing time
- Reduced frequency of future outbreaks


Courtesy of: Dr. Jason Pang
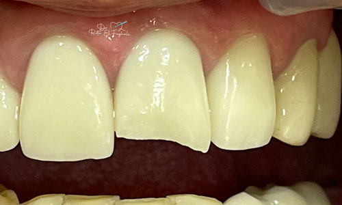
Secret 7:
Ceramic Debonding
Laser-assisted ceramic debonding is a cutting-edge dental procedure that uses Fotona’s Er:YAG laser to safely and efficiently remove ceramic brackets, veneers, or crowns. Compared to traditional mechanical methods, this technique significantly reduces procedure time and discomfort.
How it Works
- The Er:YAG laser emits energy that passes through the ceramic material and is absorbed by the bonding cement underneath.
- This energy softens and/or ablates the adhesive, weakening its grip and allowing the ceramic material to be removed with minimal force.
- The process is precise and selective, targeting only the bonding material without heating or harming the underlaying tooth.
Key Benefits
- Low risk of enamel fractures
- Shorter treatment time
- Minimal thermal effects on surrounding tissues
- Option of preserving the ceramic piece, which can be reused
- Less pain than conventional debonding
- Minimally invasive procedure, often requiring no anesthesia


Courtesy of: Dr. Rita El Feghali
Dr. Linhlan Nguyen
Dr. Linhlan Nguyen is a General Practitioner in Canberra, Australia. She completed her Bachelor of Dental Surgery at the University of Sydney in Australia in 1996. Her private clinic emphasizes dentofacial aesthetics and laser-assisted dentistry. Dr. Nguyen obtained the Master in Laser Dentistry at the Laser and Health Academy in 2017 and was awarded a Master of Science in Laser Dentistry at the Università Cattolica del Sacro Cuore in 2020. She has been a fellow of the International Congress of Oral Implantologists since 2015 and the International Academy for Dental-Facial Esthetics since 2016. Dr. Nguyen is passionate in TMD myofascial pain management, airway health and sleep medicine. She is also a Laser Therapist and is currently completing her Graduate Diploma of Cosmetic Dermal Science.
Dr. Alexandra Marques
Alexandra Marques completed her Master in Science in 2018 at Universitat Internacional de Catalunya (UIC) and completed her specialization in Laser therapy at Ordem dos Médicos Dentistas (OMD), and Oral Surgery at Cooperativa de Ensino Superior Politécnico e Universitário (CESPU) in Portugal. She currently works as the Clinical Director at MD Clinica in Lisbon, from 2009 till the present.
Dr. Rita El Feghali
Dr. Rita El Feghali is a dental surgeon who graduated from the Saint Joseph University in Beirut, Lebanon. She obtained her Master of Sciences degree in Laser Dentistry with honors from the University of Genoa, Italy, where she is currently a Professor a.c. in the Department of Surgical Sciences and Integrated Diagnostics. Dr. El Feghali is a speaker in several national and international laser workshops and events. She is a reviewer in the peer-reviewed journal “Lasers in Medical Science”. In her private practice in Beirut, she works with three laser wavelengths, 980 nm Diode, 1064 nm Nd:YAG and 2940 nm Er:YAG.
Dr. Hui Jing Phang
Dr. Phang Hui Jing is a general dental practitioner from Singapore. She graduated as Valedictorian from the National University of Singapore in 2006 and was awarded the University Silver Medal, Terrel Silver Medal, Tratman Medal and SDA Book Prize. She was also placed on the Dean’s List in recognition of her academic excellence.
Dr. Phang obtained her Master in Laser Dentistry from the Laser and Health Academy (Slovenia) in 2024 and was subsequently awarded a Master of Science in Laser Dentistry from Università Cattolica del Sacro Cuore in 2025. Her private practice focuses on advanced laser-assisted dentistry, as well as pain modulation and wellness management through photobiomodulation. She actively promotes evidence-based laser applications and conducts educational courses on diode, Nd:YAG and Er:YAG laser systems.
Dr. Phang has a special clinical interest in laser-assisted periodontal therapy, including the use of AutoSWEEPS photoacoustic irrigation protocols as an adjunct in non-surgical periodontal treatment for enhanced biofilm disruption. She is also passionate about laser-assisted root canal treatments, TMD photobiomodulation pain management, sleep and airway management using laser technologies, and dentofacial aesthetics with Erbium lasers. Her aesthetic laser portfolio includes intraoral SmoothLifting® and LipLase® protocols for collagen stimulation, tissue tightening, and non-invasive facial rejuvenation.
Dr. Grisel Martos
Dr. Martos received a degree in dental medicine from the Universidad de La Habana, where she graduated with honors. After migrating to the United States, she enrolled in the prestigious dental school of Nova Southeastern University, where she had the honor of receiving her diploma from the Honorable Jeb Bush, governor of the state of Florida at the time. In that same year, right after she graduated, she did not waste any time and started her career, opening her own private office in Miami with the latest technology and equipment.
Dr. Martos is an avid student of cosmetic dentistry and is constantly expanding her knowledge with continuing education courses. The warm and friendly environment of her office is always complemented by her lively and approachable personality.
Dr. Martos is currently an accredited member of the Florida Dental Association, American Dental Association®, Cosmetic Dental Association, South Florida District Dental Association and American Academy of Clear Aligners.
Scientific & Clinical Research Library:
SECRET 1 — TouchWhite® Teeth Whitening
J LA&HA - J Laser Health Acad 2017; 2017(1):CN07
J. LA&HA, Vol. 2013, No. 1; pp. C04-C06.
SECRET 2 — LipLase® Natural Lip Plumping
J LA&HA - J Laser Health Acad 2015; 2015(1):CN03
SECRET 3 — Gum Depigmentation
J LA&HA - J Laser Health Acad 2023; 2023(1):CN09
J LA&HA - J Laser Health Acad 2019; 2019(1):22-24
SECRET 4 — SmoothLiftin™ Intraoral Facial Rejuvenation
SECRET 5 — Gingivectomy & Crown Lengthening
Laser - International Magazine of Laser Dentistry; 2015(1), 16-19.
SECRET 6 — Skin & Mucosal Lesion Management
SECRET 7 — Ceramic Debonding
Additional Resources: visit the Laser and Health Academy* website for additional information about medical laser treatments that can be performed with Fotona laser systems.




