Fotona Gets Patent for its TouchWhite™ Tooth Whitening Tx
28 October 2011
This new tooth whitening method has been discussed at numerous international meetings and written about in top dental journals such as The International Journal of Laser Dentistry (Vol. 3, Issue 2/2011) and the Journal of the Laser and Heath Academy (Vol. 2011, No. 1). Because TouchWhite™ is gentle, safe, fast and effective, more and more dentists are choosing to whiten teeth using this new treatment method.
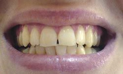
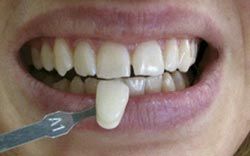
Before (A3 VITA Shade Guide) | Immediately after TouchWhite™ Tx (A1 VITA Shade Guide) |
TouchWhite™ utilizes the Er:YAG laser to activate the bleaching gel on the tooth's surface using Fotona's VLP pulse mode. The benefits of using the Er:YAG wavelength's high absorption in water means that, unlike with Nd:YAG or diode lasers, any bleaching gel color can be used because bleaching gels primarily consist of water.
With TouchWhite™ patient safety and comfort are not a concern. Unlike other wavelengths, the Er:YAG heats only the water in the gel and does not penetrate through the gel. Consequently, procedures are gentler because laser light does not heat the hard dental tissue or pulp, and faster because the bleaching effect is amplified by applying laser light to the gel. Treatment time is reduced 5-10 times.
With TouchWhite™ only the gel is heated (a), while with standard laser whitening the entire tooth is heated (b). | TouchWhite™ substantially shortens bleaching time. |
We are happy to report that specially designed TouchWhite™ handpieces are now available from Fotona:
- R17 handpiece (compatible with the LightWalker AT laser system)
- R09-3T handpiece (compatible with the LightWalker DT, LightWalker ST-E and Fidelis laser systems)
R17 handpiece | R09-3T handpiece |
Related news

